为啥从小吃到大的这种药
现在突然被禁售了?
前不久看到一个消息

啊?泻立停被禁了?
别慌!现在的泻立停是能吃的!
被停售和召回的
是小时候常吃的止泻药
大名叫「颠茄磺苄啶片」

现在「泻立停」商标下的药物
已经不是它了!

不光是它
如果你仔细观察
会发现很多小时候常见的药
都悄悄消失了
比如——

那为啥会这样呢?
别急
小编带你来扒一扒背后的秘密!
01
颠茄磺苄啶片
上面说的
这种治拉肚药之所以被停售
主要还是因为里面含有
磺胺类和颠茄类成分
安全性相对不算高
容易引起过敏!
据研究
约有 3%~8% 的人对磺胺过敏
比较常见的过敏反应就是
——身上起疹子
轻则是这种
一粒粒、一片片的红色斑丘疹

重则可能引起
大疱型表皮松解型药疹
是最严重的情况之一
全身都会有红斑、水疱
甚至糜烂坏死


江西省药品不良反应监测中心
曾汇总调查过产生不良反应的人
发现男性比例明显多于女性
而且男性中有 4.41% 会产生生殖系统损伤

除此以外
颠茄成分也可能引发
视力模糊、心跳加快等反应
最重要的是
这药的「获益 - 风险比」太低!
① 病人吃这药治病的获益
低于承担不良反应的风险

② 现在还有更安全的
蒙脱石散等止泻药替代

于是一合计
它就成了时代的眼泪

02
红药水、紫药水
试问谁小时候受伤了
没涂得身上红红紫紫的

但其实这俩
也早就在药品界混不下去了
红药水大名叫「汞溴红溶液」
它消毒主要靠里面的汞
汞是一种有毒的重金属
红药水用太多的话
会有重金属中毒的风险!
说明书上也写了
不能长期大面积使用

所以早在 2021 年
国家药监局
就注销过一批红药水的注册证书
减少生产售卖了


而紫药水虽然没中毒风险
但它有致癌风险
它的主要成分是「甲紫」
有报告表明动物全身性 (或系统性)
吸收甲紫可致癌

所以紫药水
只能局部涂在没破的皮肤上!
另外
这药还有一个 bug!
甲紫还是一种染料
染色效果嘎嘎强,涂哪紫哪很难消

所以国家药监局也发过公告
注销了紫药水的批准文号
不禁用但减少生产了

还修订了甲紫溶液药品说明书

现在大家一般用消毒效果好
还不刺激、容易洗掉的碘伏


03
复方甘草片、强力枇杷露
小时候咳嗽可能吃过「复方甘草片」
有点甜,有点苦,有点怪

但效果杠杠的
吃完很快止咳了
效果这么好
是因为它里面含了各种止咳成分
比如
甘草流浸膏粉、阿片粉、樟脑
但你可能不知道
「阿片」还有个别名,它叫「鸦片」
所以这个药吃多了
是真有可能上瘾
轻则记忆力下降、肌体免疫力降低
重则成瘾持续终身,出现幻觉和妄想症
国家药监局也出了修订
警告复方甘草片有危险物质
并且明确不能吃超过 7 天

而「强力枇杷露」
也是一个大家不陌生的药

但你可能也不知道
它「强」就强在比起普通的枇杷露
里面加了能止咳的罂粟壳

所以这药现在也渐渐淡出视线了
除非去医院特意开
但网上还是能见到法外狂徒在卖

懂了,下次看到直接举报!
04
土霉素片
「土霉素片」被吹得神乎其神

甚至有这样的传闻

土霉素之所以效果好
是因为它是一种「广谱抗生素」
能快速抑制肺炎球菌、淋球菌
脑膜炎球菌、大肠杆菌、产气杆菌、志贺菌属
耶尔森菌等等各种病菌

但它光顾着打击病菌
不顾你的死活
如果经常使用的话就容易变成
「滥用抗生素」
那后果可就严重了!
注意!
土霉素能损害肝脏,引起肝脂肪变性
能积蓄在肾脏,引发中毒
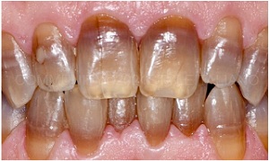
还能渗入到钙化的组织中,导致牙齿变黄
比如「四环素牙」

所以土霉素也早被
注销了一波注册证书
减少售卖!
现在很少见到这药了
再见到也是当兽药用
05
特酚伪麻片、特洛伪麻胶囊
这俩学名同学们可能有点陌生
但小时候感冒发烧可能吃过一种药
「新芬泰」

跟普通的感冒药不同
这两个药含有一个特殊成分
「特非那丁」
特非那丁可能
导致严重的心血管问题!
特酚伪麻片的说明书里
还写过心脏病患者应慎用

所以在 2018 年
国家药监局就紧急叫停了
禁止在我国的一切生产、销售和使用
现在就完全看不见了


综上所述
小时候那些
效果好、治病快的药
有些是当时对危险研究还不足
后来研究明白了
有些是随着时代发展
有了更好更安全的替代
于是它们就渐渐淡出视线
成为童年的回忆
这是好事
代表我们医学技术一直在进步呐!
- END -
» 更多 药物冷知识

